//www.lacosti.com/slideshow/esophageal-cancer-facts-treatments
食道癌 风险因素

食管癌:你需要知道现在是什么

查看:LIST|SLIDES
人的喉咙
克里斯托弗·坎贝尔

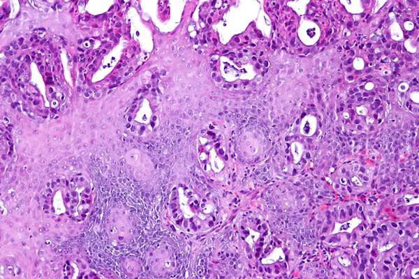
活检。食道的粘膜内腺癌表示管状腺体浸润固有层和鳞状上皮
食管腺癌 CoRus13

如何食管癌的形式?


香烟和酒精
iStock

是什么原因导致食管癌?


女人遇到胃酸倒流的痛苦
iStock

什么是风险因素?


女人有吞咽困难
iStock

有什么症状?


内镜检查
iStock

你如何筛选呢?


高级接受MRI检查测试
iStock

如何食道癌诊断?


用医生的工具
iStock

如何治疗?


在剪贴板医生书写
iStock

科学家不同意对如何分类GEJ癌症


医生解释预后病人
iStock

怎么样预后?


希拉·埃尔德雷德M.

希拉·埃尔德雷德M.

@milepostmedia

希拉Mulrooney埃尔德雷德是新闻的哥伦比亚学院的毕业生,曾任报社记者。作为一名自由职业者健康记者,她写的一切,从威胁生命的疾病对精英运动员。她的故事已经出现在纽约时报,自然,FiveThirtyEight,太平洋标准,STAT新闻和其他出版物。在工作之余,她和她的家人的爱运行在明尼阿波利斯,越野滑雪和山地自行车。