肾母细胞瘤,又称肾母细胞瘤,是儿童最常见的肾癌,占10个小儿肾癌中有9个. 其中约75%是5岁以下的儿童。肾母细胞瘤与某些遗传综合征出生缺陷,虽然很少见,但有时也会发生在家庭中。然而,大多数患有肾母细胞瘤的儿童没有先天缺陷或遗传基因突变。
了解肾母细胞瘤的基本知识
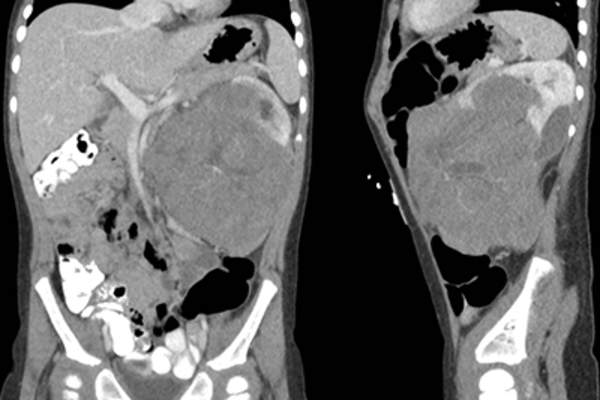
儿童肾母细胞瘤可能会出现什么样的症状?
肾脏是豆状器官,位于背部中部附近。它们过滤血液中的废物,产生尿液。患有肾母细胞瘤的儿童可能会出现以下症状:腹部肿块、疼痛、尿中带血、高血压、发烧、体重减轻、呼吸急促和尿路感染。
肾母细胞瘤是如何发展的?
目前尚不清楚究竟是什么引起了肾母细胞瘤,但人们相信它是由胚胎组织从未完全发展过。当胎儿在子宫中生长时,早期肾细胞中某些基因的改变或突变会导致肾脏发育出现问题。这些早期肾细胞群可能在婴儿出生后仍然存在。如果这些细胞不能随着孩子的成长而成熟,它们可能会开始生长失控,导致癌症。
两种类型的肾母细胞瘤
根据在肾母细胞瘤中发现的细胞类型,肾母细胞瘤有两种主要类型。医生可以通过显微镜下观察肿瘤的一部分来确定肿瘤的组织学或细胞类型。一个良好的组织学意味着没有细胞间变,意味着细胞的细胞核没有扭曲。约92%的病例组织学良好。这些病例很有可能治愈。
肾母细胞瘤分期
一旦肾母细胞瘤被诊断出来,下一步医生就要确定肿瘤处于什么阶段。有肾母细胞瘤五期它描述了癌症的程度和进展的程度。例如,第一阶段意味着癌症被控制在肾脏,并通过手术完全切除。第5阶段意味着两个肾脏在诊断时都有肿瘤:请在下一张幻灯片中阅读更多内容。
5期肾母细胞瘤
第5阶段显示两个肾脏都有肿瘤,这可能意味着两个肾脏都有异常组织发展成肿瘤。肿瘤不太可能从一个肾扩散到另一个肾。这种癌症的治疗是以肾为基础的,术后更为晚期。这个阶段有多少病例?奇怪的是同一个号码舞台本身:5%.
肾母细胞瘤的治疗选择
有三个肾母细胞瘤的主要治疗方法:手术、化疗和放射治疗。手术通常是美国病人的第一种治疗方法,目的是切除主要肿瘤。如果肿瘤很大或者已经扩散到附近的血管,医生可以事先建议化疗或放疗。
肾母细胞瘤可以在肾外发展
在极少数情况下,肾母细胞瘤可以在肾外发展,并被归类为肾外“几乎所有肾外肾母细胞瘤的病例都是在儿童中报告的,只有不到1%的病例是在成人中报告的。这些肿瘤多见于腹腔、腹股沟、下背部和盆腔以及女性生殖器官(如子宫或卵巢)周围。
国家Wilms肿瘤研究带来了许多治疗进展
在20世纪初,大约90%的儿童被诊断为肾母细胞瘤死亡。到本世纪末,将近90%的人幸存下来,继续过着相当正常的生活。这在很大程度上要归功于全国肾母细胞瘤研究,始于1969年。这项研究帮助医生了解如何更有效地治疗肾母细胞瘤。
继续关注长期副作用
这项研究正在继续关注癌症和治疗的长期副作用。它旨在确定严重的医疗状况随着年龄的增长,肾母细胞瘤幸存者可能更容易发生充血性心力衰竭、第二个恶性肿瘤、肾衰竭、慢性肺病和糖尿病。这项研究还检测了患有肾母细胞瘤的患者的子女或兄弟姐妹是否有更高的罹患癌症的风险。