9关于HPV和PAP测试的常见问题,回答

经过eileen bailey. 卫生师

人乳头瘤病毒(HPV)根据疾病控制和预防的中心(CDC)的中心,是最常见的性传播感染(STI)它会导致生殖器疣和某些癌症,包括宫颈癌。抗HPV接种疫苗是预防宫颈癌的关键步骤,但您还应该接受常规的宫颈癌筛查,包括PAP测试(也称为PAP涂片)。这是你应该知道的。

PAP测试设备
Istock.

什么是PAP测试?

一种巴氏试验宫颈癌和癌前细胞的屏幕美国癌症学会。此测试通常在您的期间完成妇科检查。从宫颈刮下细胞并送到实验室进行测试。它们将被检查出现异常细胞,如果您有过PAP测试,请查看您的单元格是否有任何更改。早期检测到时,宫颈癌易于治疗,根据国家癌症研究所

显微镜下PAP涂抹细胞
Istock.

即使我的PAP测试正常,我也可以拥有HPV吗?

是的,当您的PAP测试正常时,您可以拥有HPV。您的子宫颈的变化可能无法立即出现,或者它们可能永远不会出现。HPV很常见美国癌症学会建议在21和29岁之间的女性首先在没有HPV测试的情况下接受PAP测试,然后只有当PAP结果异常时,才接受HPV测试。

医生解释女人的测试结果。
Istock.

阴性HPV和PAP测试结果是什么意思?

如果您在PAP和HPV测试中获得负面结果,那就意味着您的秘书处非常不太可能在您的子宫颈中拥有HPVCDC,你在未来几年里有一个非常低的机会让宫颈癌。您的医生可能会建议在您再次进行测试之前等待五年。

如果我的HPV测试和PAP测试结果有何不同,这意味着什么?

当您的测试结果不匹配时 - 例如,您的PAP测试会恢复异常,但您的HPV测试是负面的 - 您的医生可能会完成额外的测试,以了解根据CDC的情况,以了解正在发生的事情。但是,如果结果不同,因为您的PAP测试是正常的,但您的HPV测试是积极的,这意味着您有HPV,但它并没有影响您的子宫颈;您的免疫系统可以在引起问题之前自己清除HPV。您的医生可能会建议在一年内重新恢复。

如果我的HPV和PAP测试都有阳性怎么办?

如果您的PAP测试结果异常和您的HPV测试是积极的,这意味着您有HPV,据此影响您的子宫颈,根据CDC。这并不意味着你有宫颈癌,但它确实意味着您的医生将完成进一步的评估,并且可能需要去除异常细胞以防止它们恶化或发展成为癌症。

HPV可以治愈吗?

对于HPV而言,没有治愈,但是由HPV引起的医疗条件有治疗,例如生殖器疣,根据食品和药物管理局(FDA)。很多次,没有症状,大多数人都不知道他们有HPV。您的免疫系统通常会清除病毒,而不会导致任何问题。

看片剂的资深妇女,有关的表示
Istock.

还有什么可以引起异常的PAP测试?

据此,异常结果并不总是意味着您有HPV或癌前或癌细胞,据密歇根大学。异常PAP测试结果的其他原因包括酵母或细菌感染,可以治疗。对于那些是妇女绝经后在某些情况下,PAP结果可能在某些情况下异常,因为与从癌症的老年人有关的变化。

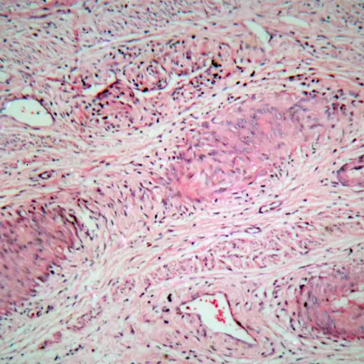
来自人宫颈的组织细胞与宫颈癌细胞
Istock.

高风险和低风险类型的HPV有什么区别?

低风险类型的HPV可能导致疣,以及高风险类型的HPV会导致癌症。然而,大多数情况下,高风险的HPV导致没有健康问题,而不成为癌症。

医生给患者注射
Istock.

你应该得到HPV疫苗吗?

根据CDC,在一个人的第一次性接触之前和在接触HPV之前给出时,HPV疫苗最佳。所有女孩和男孩年龄11或12岁应该得到HPV疫苗,但它可以作为9岁和45岁的人提供,据FDA.。这些疫苗在预防其HPV结果的癌症方面非常有效。

迎接我们的作家
eileen bailey.

Eileen Bailey是一个屡获殊荣的六本关于健康和育儿主题和自由作家的屡获殊荣的作者,专门从事卫生主题,包括ADHD,焦虑,性健康,护肤,牛皮癣和皮肤癌。她的愿望是为读者提供有关健康状况的相关和实用信息,以帮助他们提出关于他们的医疗保健的知情决定。