帮助你了解溃疡性结肠炎的10个术语
UC。IBD。即使是绰号听起来就像行话。因此,我们问了肠胃病你需要知道溃疡性结肠炎生活得好的关键短语。不要担心:没有测验后。
健康诊断已经够吓人的了——谁还需要额外的压力来解读所有的胡言乱语呢?在这里,加州圣塔克拉利塔凯萨医疗机构(Kaiser Permanente)的胃肠病学家(GI医生)吉娜·林(Gina Lin)博士解释了顶级的ucc相关定义,这样你就可以从治疗中获得最大益处。
溃疡性结肠炎
炎症性肠病
如果你刚刚被诊断为UC,你可能听说过“炎症性肠病(IBD)”和UC交替出现。有什么区别呢?
IBD是一组导致在胃肠(GI)道的慢性炎症的条件。UC是一种类型的IBD的。事实上,最常见的两种类型的IBD是UC和克罗恩病,根据克罗恩病和结肠炎基金会。本质上,如果你有UC,你就有IBD。你会经常听到这些缩略词。
狭窄
慢性炎症有时会造成肠壁瘢痕,这就是狭窄。狭窄的另一种说法是“狭窄”——你的医生可能会交替使用这两个词。
如果你有狭窄,你可能需要手术来修复它,这被称为astrictureplasty。
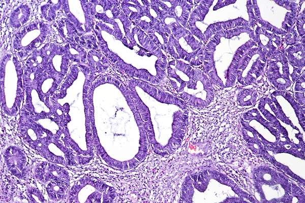
发育不良
当一种异常类型的细胞在肠道内壁被检测到,它被称为发育不良。发育不良可能导致癌症:UC患者有a结直肠癌的风险更高比一般人群。“这种风险与疾病的持续时间和多少结肠受到影响,”林医生说。按照克罗恩病和结肠炎基础,在你有UC症状8到10年后,风险会增加。更频繁的监察(结肠镜检查)您INTIAL八年之后-starting诊断,通常推荐与UC任何人监视器发育不良。
隐血
这听起来像是从什么真爱如血重播,但没什么神秘的。在医学上,“潜血”就是指粪便中肉眼看不到的血液。该测试可作为UC诊断的一部分或用于检查疾病进展。
下坠
你刚走后就想要便便的冲动:有个词可以形容这种冲动。
“里急后重是一种UC症状,患者感觉需要排便,即使你已经有排便的需要,”林医生说。这是直肠炎患者的常见症状。