每年,大约23万人被诊断患有肺癌,使得它在男性和女性第二常见的癌症,根据美国国家癌症研究所。尽管这看起来很高,人诊断出患有这种疾病的人数一直在下降,在过去10年。例外:肺癌的发生率在谁已经在他们的吸烟少于100支的不吸烟者,成年人一生中发现,有所增加。
“We've seen a bump in these patients over the past couple of years,” says Benjamin P. Levy, M.D., a thoracic medical oncologist and clinical director of medical oncology at Johns Hopkins Sidney Kimmel Cancer Center in Washington, D.C. Lung cancer in never-smokers now accounts for 15% to 20% of all cases, he adds. And while no one knows for sure why there’s been an uptick, researchers have identified some possible links and special considerations to be aware of if you or a family member has been diagnosed.
你可能已经暴露于二手烟
当你居住或工作与吸烟,你吸入已知会产生肺部细胞变化一样有毒的化学物质,增加你的风险高达20%〜30%,根据美国疾病控制和预防。而且它不只是肺癌。韩国研究人员发现了(约四分之一)开发任何类型的癌症,包括乳腺癌一个显著风险,暴露于二手烟。
曝光是程度的问题雅各布金沙,医学博士,在胸(肺)癌症治疗中心在Dana-Farber癌症研究所在波士顿医生说。香烟的味儿偶尔可能并不会伤害你。但是,如果你住在一个没有禁止在公共场所(印第安纳州,肯塔基州,密西西比州,南卡罗来纳州,得克萨斯州,西弗吉尼亚州和怀俄明州)吸烟的状态,你的曝光可能是引爆点。
你的房子有,或者已经-氡气体泄漏
氡气,自然地释放到岩石和土壤空气中的放射性气体,是肺癌另一种已知的危险因素。氡是无处不在,但是当它渗透到你的房子(通过在基础裂纹),并收集有它成为一个问题。在放射性粒子损害呼吸细胞在你的肺部。
在从不吸烟者,氡气是负责每年大约2000到3000例肺癌患者,根据研究。如果您担心,购买从五金店氡气检测试剂盒,并确保在您家中的浓度水平不超过4个PCI / L。如果是这样,雇用承包商来解决这个问题。
你的症状可能会有所不同从吸烟者的肺癌
在一般情况下,从不吸烟者往往不显示肺癌的持续性咳嗽或喘息,气短通常的迹象,咳血。因为从不吸烟者通常会更健康(和有更好的肺活量),他们经常会去医生那里做什么都没有做他们的肺,像骨头的疼痛或严重的头痛是真的迹象的症状,症状,他们的癌细胞已经扩散到利维博士说,他们的身体的其他部位。虽然这是可怕的听到的,记住,这是为广大肺癌患者也是如此。这是一种疾病,可令人沮丧很难早期发现。
你从来筛选肺癌
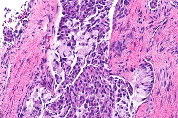
巨蟹座:巨蟹的分型往往是不同的
许多从不吸烟者得癌症全线最常见的类型,这也是非小细胞肺腺癌。极少数情况下,这样做不吸烟者得小细胞或鳞状细胞癌(在吸烟者中较为常见)。其原因可能在于体内毒素的从不吸烟者已经暴露量。“鳞状细胞和小细胞肺癌往往有更多的突变,”金沙博士解释说。
这是更不可能得到这些癌症没有显著毒素暴露,导致更大的压力对细胞和DNA,导致DNA中的错误和突变。如果你还不知道,问你的肿瘤学家的亚型是什么,建议金沙博士。明知将决定你的治疗方案,并帮助您的提供商弄清楚,如果你是靶向治疗或临床试验的候选者。
你的肿瘤有明显的标志物
“有时候,在一个从未吸烟者肺癌的行为不同于在吸烟者和具有不同的基因组成,”利维博士说。这些ddifferences不符合你与生俱来的 - 它们发生在肿瘤的细胞,并能活检期间来识别变异基因。
迄今为止,科学家已经确定了几个,这些遗传标记,其中包括EFGR,ALK,ROS-1,其中的DNA变化是简单的。在许多EFGR突变,例如,突变发生只是在受影响的细胞,而不是在非癌的人,使其更容易与目标治疗。
你的治疗可能会进来一丸
因为从不吸烟者往往在上一张幻灯片中提到的DNA突变,这是基因比吸烟者的癌症简单,他们进行有针对性的治疗,而不是标准的化疗或更好的候选人免疫治疗,金沙博士说。通常情况下,这些药物在肿瘤缩小或停止分裂的细胞非常有效。很多时候,太多的副作用不是很严重。
你更可能一个女人
那些在美国和欧洲的肺癌,20%的女性是不吸烟者;男性中,2〜6%的不吸烟者,根据研究人员在美国马萨诸塞州总医院和哈佛大学。在亚洲,这个数字甚至更高:从不吸烟者之间的60%〜80%是女性,比男性10%〜15%。不幸的是,没有人真正拥有这种差异的一个原因,但可能的解释范围从遗传差异激素。
你有自己的情感障碍需要克服
许多吸烟者患耻辱和愧疚,因为很多人错误地认为,他们带来了自己的癌症。但是,谁从来没有也熏人,当他们收到他们的诊断在感情上傻了眼。
“他们经历显著不同的心理的挑战,因为他们喜欢,“我很健康。我从来不抽烟。这怎么可能?”,”利维博士说。“我告诉患者,这并不少见,所有肺癌的五分之一是从不吸烟者。我认为,他们知道,这是非常重要的。”
你已经有专门的支持了。
如果你正在寻找的支持,你可以发现,都是为了不吸烟者,甚至根据你有特定突变倡导团体利维博士说。一个很好的出发点是LUNGevity基金会,一个组织,致力于早期发现和治疗资助科学研究。