溃疡性结肠炎增加你的结肠癌风险:怎么知道保护自己
短信和驾驶。香肠和番茄酱。那老公牛在瓷器店。
有些事情太可怕了一起。因此,它与溃疡性结肠炎和结肠癌。
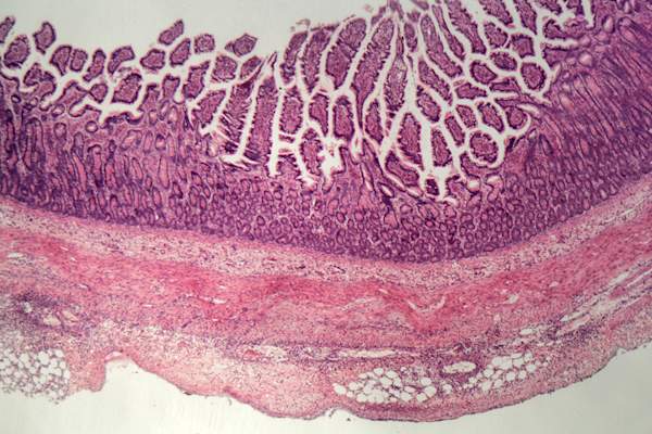
溃疡性结肠炎是炎症性肠病,的慢性疾病的类别(另一个是克罗恩)涉及肿胀,发红,和在大肠内的疼痛。主要原因:免疫系统横行,攻击健康细胞在大肠,而不是外来的入侵者如病毒和细菌。
这种误伤导致持续的刺激,肿胀,并在肠道的内衬溃疡,引起腹痛,便血,并迫切需要找到一个厕所。
许多患者可以控制溃疡性结肠炎的症状与处方吃药,吃干净,或手术。然而,所有的患者需要约大肠癌超警惕。
如果你有溃疡性结肠炎,整体结肠癌的风险比普通人群的2.4倍,按照研究发表在2016年4月在该杂志消化内镜。为了比较,如果你没有溃疡性结肠炎,你的风险小于5%。
如果你有溃疡性结肠炎和被关心的癌症,这里有八两件事要记住,并与医生讨论。
龙儿你有溃疡性结肠炎,较高的风险
在胃肠道的慢性炎症可导致发育不良,改变了该行结肠,可以导致癌症的细胞,根据克隆氏病和结肠炎基金会(CCF)。
你结肠癌的风险开始增加一旦你溃疡性结肠炎住了8至10年。更重要的是,你有状态的时间越长,越高它攀升。
“这可能是高达20%,如果你有疾病了30年,”胃肠病亚当埃利希,医学博士,合作医疗在费城坦普尔大学的炎症性肠病项目主任说。“而大多数人被诊断相当年轻。”
诊断的平均年龄是34.9,根据CCF。
您的风险不定多少结肠被影响
在结直肠癌比一般人群高风险最接近直肠,地图无法大肠的一部分埃利希博士说,溃疡性结肠炎的人多数民众赞成局限于直肠,或直肠和乙状结肠。
当炎症再涨,影响了上升,下降,和横向冒号发生风险增加。
您对其他癌症的风险可能会更大,太
埃利希博士说,患有炎症性肠疾病,包括溃疡性结肠炎,有皮肤癌和淋巴瘤的风险升高为好,可能是因为用于治疗溃疡性结肠炎抑制免疫系统的药物。
跟你的医生要监视自己对这些疾病的他加禄语的最佳途径。
溃疡性结肠炎可以模仿结肠癌
的溃疡性结肠炎发作起来可以在你的凳子,这也是大肠癌红旗引起血。谈谈你的医生,如果这些症状做一个突然出现:
- 缩小,鲜红色,或非常暗的凳子
- 在你多久有排便的变化
- 恒疲劳
- 经常性和不明原因的呕吐
- 腹泻或便秘的情况增加
千万不要跳过定期筛查
谁拥有溃疡性结肠炎的延伸超过乙状结肠人们应该开始每年结肠镜检查,测试,医生使用长的柔性管附摄像头,没有冒号后八年多在症状出现后,检查内部博士说,埃利希。
你的医生也可能把你的筛选中活检,特别是如果他或她发现发育不良或看起来癌细胞。
如果你以前有不典型增生或称为原发性硬化性胆管炎胆管炎症,医生可以喷一种蓝色染料到结肠壁更容易发现癌变区域。
如果你有不典型增生,考虑让你的结肠移除
患有重度异型增生可能需要有一个结肠切除术,外科手术去除部分或全部结肠。
但是,如果不典型增生是低档,颠簸和结节通常可以完全结肠镜检查时取出。
医生还可以选择监控更频繁的结肠镜检查(每半年)低度不典型增生,看是否炎症消退治疗埃利希博士说。
你的整体风险正在下降
最后,好消息!埃利希博士说,溃疡性结肠炎患者中,结肠癌症发病率实际上将下。
“的人减少了患癌症,因为我们对溃疡性结肠炎的治疗已经变得更好,”他说。
底线:如果你有溃疡性结肠炎,工作与你的医生找到适合自己的药物和筛选的时间表。